case reports
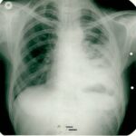
Mezotelioma (Akciğer Zarı Kanseri) - HD
Malign Mezoteliomaadan Tam İyileşme
53 yaşında kadın hasta • 9 ayda tam iyileşme
Hikaye Özeti
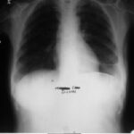
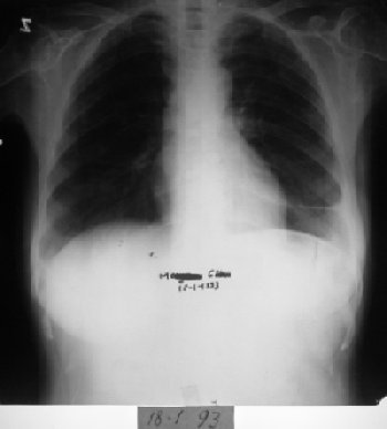
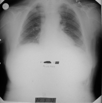
1991 yılında az diferansiye fibröz malign mezotelioma teşhisi konulan 53 yaşındaki kadın hasta, çok düşkün haldeyken immünomodülatör tedavi ile 9 ayda tam iyileşme sağladı. 2000 yılında hasta remisyondaydı ve 9 yıl boyunca hastalık belirtisi göstermedi.
1991 Eylül - İlk Başvuru
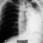
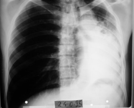
Nefes darlığı, göğüs ağrısı - plevral sıvı
Teşhis
Az diferansiye fibröz malign mezotelioma
Aralık 1991 - Tedavi Başlangıcı
Çok düşkün hal, ödem, haftada 6 gün 4 mg
1992 Şubat-Ağustos
Ödem kayboldu, radyoloji normale yakın
1994-2000 - Uzun Dönem
Remisyon devam ediyor (9 yıl)
Detaylı Vaka Öyküsü
🔍 Teşhis Süreci
1991 Eylül: 53 yaşındaki kadın hasta nefes darlığı ve göğüs ağrısıyla başvurdu.
Tetkiklerde sol plevra boşluğunda sıvı saptandı.
Biyopsi sonucu "Az Diferansiye Fibröz Malign Mezotelioma" teşhisi kondu.
Tanı: Az diferansiye fibröz malign mezotelioma
Torakoskopi ve Coparvacs uygulamasına rağmen akciğerde tam ekspansiyon sağlanamadı.
⚠️ Kritik Durum
11 Aralık 1991: Hasta uzman hekime getirildi.
Çok düşkün haldeydi, ödem ve kilo kaybı vardı.
Hasta terminal evredeydi ve acil müdahale gerekiyordu.
💊 Tedavi Başlangıcı
Test dozu sonrası ateşi 38°C'ye yükseldi.
Tedavi Protokolü: Haftada 6 gün, günde 4 mg immünomodülatör aşı
İmmünomodülatör tedavisine alındı.
📈 İyileşme Süreci
1992 Şubat (2. Ay)
Ödem kaybolmuştu, dispne ve taşikardi düzelmişti. İki ay daha aynı tedaviye devam edildi.
1992 Nisan (4. Ay)
Bulgular daha da iyileşmişti.
1992 Mayıs (5. Ay)
3 günde bir 4 mg immünomodülatör aşı ile idame tedavisine geçildi.
1992 Ağustos (9. Ay)
Radyolojik bulgular normale yakın hale gelmişti ve immünomodülatör tedaviyi kesmesi önerildi.
✅ Uzun Dönem Takip
1994 (3 yıl sonra): Takipte yalnızca küçük bir blokaj dışında bulgu yoktu
2000 (9 yıl sonra): Hasta remisyondaydı
Malign mezotelioma tamamen kontrol altına alındı ve uzun dönem remisyon sağlandı.
📚 Mezotelioma Hakkında
• Mezotelioma genellikle asbest maruziyeti ile ilişkilidir
• Az diferansiye formlar daha agresif seyirlidir
• Plevral sıvı ve nefes darlığı tipik bulgulardır
• Bu vakada 9 yıllık remisyon çok başarılı bir sonuçtur
📝 Özel Notlar
• Terminal evredeki hastanın dramatik iyileşmesi
• Ödem ve dispnenin hızlı düzelmesi (2 ay)
• Radyolojik normalleşme (9 ay)
• 9 yıllık uzun dönem remisyon
🎉 Başarılı Sonuç
9 aylık süreçte tam iyileşme
Malign mezoteliomaadan 9 yıllık remisyon
Küçük Hücreli Anaplastik Karsinom - YG
Akciğer Kanserinden Tam İyileşme
31 yaşında erkek hasta • 7 ayda tam iyileşme
Hikaye Özeti
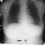
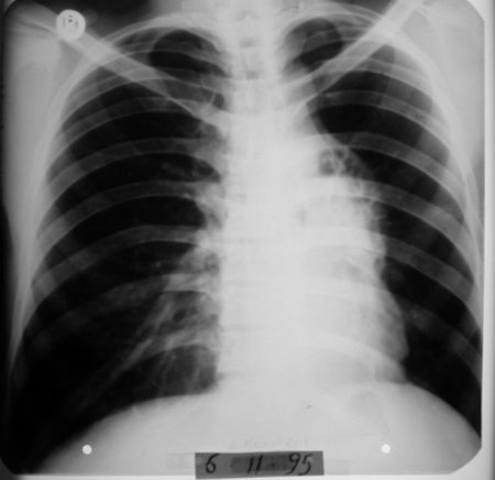
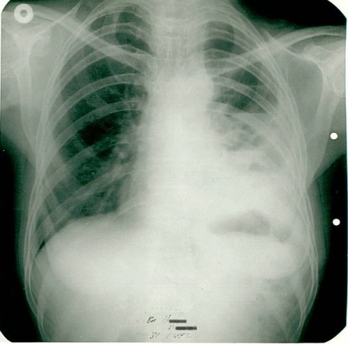
1995 yılında küçük hücreli anaplastik karsinom teşhisi konulan 31 yaşındaki erkek hasta, kemoterapiyi reddederek immünomodülatör tedavi ile 7 ayda tam iyileşme sağladı. Şiddetli ağrıları sadece 12 günde kayboldu ve röntgende tümör tamamen ortadan kalktı.
1995 - İlk Başvuru
Öksürük, ateş, sırt ağrısı - küçük hücreli anaplastik karsinom
Teşhis
Biyopsi sonucu pozitif, kemoterapiyi reddetti
Ekim 1995 - Tedavi Başlangıcı
Şiddetli ağrılar, haftada 6 gün 4 mg immünomodülatör
1995 Kasım
12 günde ağrılar kayboldu, kitle küçüldü
1996 Mayıs - Tam İyileşme
Röntgende tümör tamamen kayboldu
Detaylı Vaka Öyküsü
🔍 Teşhis Süreci
1995: 31 yaşındaki erkek hasta öksürük, ateş ve sırt ağrısı ile başvurdu.
Biyopsi sonucu "küçük hücreli anaplastik karsinom" teşhisi kondu.
Konvansiyonel kemoterapiyi reddetti.
Tanı: Küçük hücreli anaplastik karsinom (akciğer kanseri)
Hasta alternatif tedavi arayışına girdi.
💊 Tedavi Başlangıcı
24 Ekim 1995: Hasta uzman hekime getirildi.
Şiddetli ağrıları vardı.
4 mg immünomodülatör aşı sonrası ateşi 38.2°C'ye yükseldi.
Tedavi Protokolü: Haftada 6 gün, 4 mg immünomodülatör aşı
Hasta evine gönderildi ve tedaviye devam etti.
⚡ Hızlı İyileşme
12 gün sonra: Şiddetli ağrıları tamamen kayboldu.
Bu kadar hızlı ağrı gidermesi dikkat çekicidir.
Hasta yaşam kalitesinde dramatik iyileşme yaşadı.
📈 İyileşme Süreci
6 Kasım 1995 (2 hafta sonra)
Röntgende kitle küçülmüş durumda görüldü.
1996 Mayıs (7. Ay)
Röntgen tümörün tamamen kaybolduğunu gösterdi.
İdame Tedavi
İki günde bir 4 mg ile idame tedavisine geçildi.
✅ Tam İyileşme
Radyolojik Kanıt: Röntgende tümör tamamen kayboldu
Semptom Giderme: Öksürük, ateş ve ağrılar tamamen geçti
Küçük hücreli anaplastik karsinom tamamen ortadan kalktı.
📝 Özel Notlar
• Küçük hücreli akciğer kanseri genellikle agresif seyirlidir
• 12 günde ağrı gidermesi çok hızlı bir yanıttır
• Radyolojik tam yanıt 7 ayda elde edildi
• Genç yaş (31) tedavi başarısını desteklemiş olabilir
🎉 Başarılı Sonuç
7 aylık süreçte tam iyileşme
Küçük hücreli anaplastik karsinomun tamamen ortadan kalkması
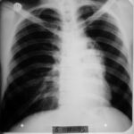
Malign Lenfoma, Akciğer Kanseri
Malign Lenfoma'dan Tam İyileşme
60 yaşında kadın hasta • 6 ayda tam iyileşme
Hikaye Özeti
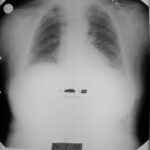
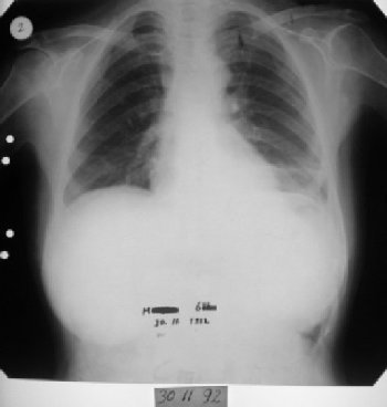
1992 yılında malign lenfoma teşhisi konulan 60 yaşındaki kadın hasta, immünomodülatör tedavi ile 6 ayda tam iyileşme sağladı. 10 yıllık takip sürecinde hastalık tamamen kontrol altındaydı ve hasta normal yaşamına döndü.
1992 - İlk Başvuru
Sol göğüs ağrısı ve öksürük şikâyeti. Çok düşkün halde.
Teşhis
Malign lenfoma (plevral biyopsi)
Kasım 1992 - Tedavi Başlangıcı
Haftada 6 gün, günde 4 mg immünomodülatör aşı
Kasım 1992 - Ocak 1993
Röntgende belirgin düzelme. Tümör tamamen kayboldu.
2002 - Uzun Dönem
Hasta remisyonda, 10 yıllık başarılı takip
Detaylı Vaka Öyküsü
🔍 Teşhis Süreci
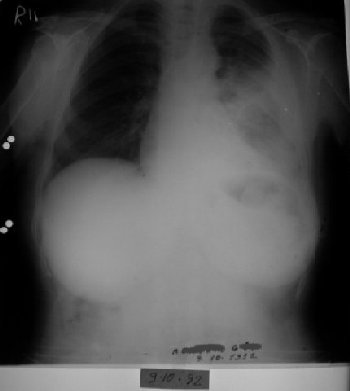
1992: 60 yaşındaki kadın hasta sol göğüs ağrısı ve öksürük şikâyetiyle başvurdu.
Plevral biyopsi yapıldı ve teşhis konuldu.
Biyopsi Sonucu: "Malign lenfoma"
Hasta çok düşkün haldeydi ve alternatif tedavi arayışına girdi.
💊 Tedavi Başlangıcı
2 Kasım 1992: Hasta uzman hekime getirildi.
Çok düşkün haldeydi. 4 mg immünomodülatör aşı sonrası ateşi 38.2°C'ye yükseldi.
Tedavi Protokolü: Haftada 6 gün, günde 4 mg immünomodülatör aşı
Hasta tedaviye iyi yanıt vermeye başladı.
📈 İyileşme Süreci
Kasım 1992 (1. Ay)
Röntgende belirgin düzelme görüldü. Tedaviye devam edildi.
Ocak 1993 (3. Ay)
Tümörün tamamen kaybolduğu görüldü.
Ocak 1993 (İdame)
İdame tedavisine geçildi: İki günde bir 4 mg immünomodülatör aşı
Mayıs 1993 (6. Ay)
Şikâyeti kalmamıştı ve immünomodülatör tedaviyi bırakması önerildi.
✅ Tam İyileşme
1998 (6 yıl sonra): Takipte remisyon devam etti
2002 (10 yıl sonra): Takipte remisyon devam etti
Hasta normal yaşamına tamamen döndü ve hastalık belirtisi göstermedi.
🎉 Başarılı Sonuç
10 yıllık takip sürecinde tam remisyon
İmmünomodülatör tedavinin etkinliği kanıtlandı
Prostat Kanseri + Kemik Metastazı
Prostat Kanserinden Tam İyileşme
61 yaşında erkek hasta • 3 yılda tam iyileşme
Hikaye Özeti
2003 yılında prostat adenokarsinomu ve yaygın kemik metastazı teşhisi konulan 61 yaşındaki erkek hasta, immünomodülatör tedavi ile 3 yılda tam iyileşme sağladı. 2006'da hasta normal yaşantısını sürdürüyordu ve metastaz bulguları tamamen kaybolmuştu.
2003 - İlk Başvuru
Prostat adenokarsinomu ve yaygın kemik metastazı tanısı
Teşhis
Prostat büyümüş ve sert, yaygın kemik metastazı
Aralık 2003 - Tedavi Başlangıcı
Haftada 6 gün, 5-12 mg immünomodülatör aşı + oral
2004 Mart - Haziran
Ağrılar kayboldu, metastaz düzeldi, tümör geçti
2005-2006 - Tam İyileşme
Sintigrafi normal, hasta normal yaşantısını sürdürüyor
Detaylı Vaka Öyküsü
🔍 Teşhis Süreci
2003: 61 yaşındaki erkek hasta prostat adenokarsinomu ve yaygın kemik metastazı tanısı aldı.
Tuşe rektalde prostat büyümüş ve sertti.
Tanı: Prostat kanseri + kemik metastazı
Hasta alternatif tedavi arayışına girdi.
💊 Tedavi Başlangıcı
3 Aralık 2003: Hasta uzman hekime getirildi.
5 mg immünomodülatör aşı sonrası ateşi 37.4°C'ye yükseldi.
Tedavi Protokolü: Haftada 6 gün, 5-12 mg arası dozlar + ağızdan immünomodülatör
Hasta tedaviye yanıt vermeye başladı.
📈 İyileşme Süreci
2004 Mart (3. Ay)
Ağrıları kayboldu, metastaz bulgularında belirgin düzelme görüldü.
2004 Haziran (6. Ay)
Başındaki tümör tamamen geçmişti.
2004 Haziran (İdame)
İdame tedavisine geçildi: İki günde bir 7 mg immünomodülatör aşı
2005 Ocak (1 yıl sonra)
Yapılan sintigrafi patolojik bulgu göstermedi.
✅ Tam İyileşme
2005 Ocak: Sintigrafi tamamen normal
2006: Hasta normal yaşantısını sürdürüyordu
Metastaz bulguları tamamen kayboldu ve hasta sağlıklı yaşamına döndü.
🎉 Başarılı Sonuç
3 yıllık süreçte tam iyileşme
Prostat kanseri ve metastazların tamamen ortadan kalkması
Pankreas Kanseri + Kemik Metastazı
Pankreas Kanserinden Tam İyileşme
40 yaşında kadın hasta • 2 yılda tam iyileşme + sağlıklı doğum
Hikaye Özeti
1997 yılında inopere pankreas başı tümörü ve kemik metastazı teşhisi konulan 40 yaşındaki kadın hasta, kemoterapiyi reddederek immünomodülatör tedavi ile 2 yılda tam iyileşme sağladı. 1999'da sağlıklı doğum yaptı ve 2008'de hasta ile oğlu sağlıklıydı.
1997 - İlk Başvuru
İnopere pankreas başı tümörü + kemik metastazı
Teşhis
Kemoterapiyi reddetti, alternatif tedavi arayışı
Ekim 1997 - Tedavi Başlangıcı
Haftada 6 gün, 5 mg immünomodülatör aşı + oral
1997 Aralık - 1998
BT'de tümör ve karaciğer lezyonu kayboldu
1999-2008 - Tam İyileşme
Sağlıklı doğum, hasta ve oğlu sağlıklı
Detaylı Vaka Öyküsü
🔍 Teşhis Süreci
1997: 40 yaşındaki kadın hasta inopere pankreas başı tümörü ve kemik metastazı tanısı aldı.
Konvansiyonel kemoterapiyi reddetti.
Tanı: İnopere pankreas kanseri + kemik metastazı
Hasta alternatif tedavi arayışına girdi.
💊 Tedavi Başlangıcı
29 Ekim 1997: Hasta uzman hekime getirildi.
5 mg immünomodülatör aşı sonrası ateşi 37.8°C'ye yükseldi.
Tedavi Protokolü: Haftada 6 gün, 5 mg başlanarak + ağızdan immünomodülatör
Hasta tedaviye iyi yanıt vermeye başladı.
📈 İyileşme Süreci
1997 Aralık (2. Ay)
BT'de tümör ve karaciğer lezyonu kaybolmuştu.
1998 Şubat (4. Ay)
İdame tedavisine geçildi: İki günde bir 5 mg immünomodülatör aşı
1999 (2 yıl sonra)
Tedavi kesildi. Aynı yıl sağlıklı doğum yaptı.
✅ Tam İyileşme
1999: Sağlıklı doğum gerçekleştirdi
2008 (11 yıl sonra): Hasta ve oğlu sağlıklıydı
Pankreas kanseri ve metastazlar tamamen ortadan kalktı, normal yaşamına döndü.
👶 Özel Not
Bu vaka, tedavi sonrası sağlıklı gebelik ve doğumun mümkün olduğunu göstermektedir.
Hem anne hem de çocuk uzun dönemde sağlıklı kalmıştır.
🎉 Başarılı Sonuç
2 yıllık süreçte tam iyileşme + sağlıklı doğum
İnopere pankreas kanserinin tamamen ortadan kalkması
Pankreas Kanseri - MH
Pankreas Adenokarsinomundan Tam İyileşme
35 yaşında erkek hasta • 8 ayda tam iyileşme
Hikaye Özeti
2003 yılında pankreas başı adenokarsinomu teşhisi konulan 35 yaşındaki erkek hasta, kemoterapiyi reddederek immünomodülatör tedavi ile sadece 8 ayda tam iyileşme sağladı. 2007'de hasta remisyondaydı ve hastalık belirtisi göstermiyordu.
2003 - İlk Başvuru
Pankreas başı adenokarsinomu tanısı
Teşhis
Kemoterapiyi reddetti, alternatif tedavi arayışı
Haziran 2003 - Tedavi Başlangıcı
Haftada 6 gün, 5 mg immünomodülatör aşı
2003 Ekim-Aralık
Tümör küçüldü, sonra MR'da tamamen kayboldu
2004-2007 - Tam İyileşme
Nüks yok, tedavi bırakıldı, hasta remisyonda
Detaylı Vaka Öyküsü
🔍 Teşhis Süreci
2003: 35 yaşındaki erkek hasta pankreas başı adenokarsinomu tanısı aldı.
Konvansiyonel kemoterapiyi reddetti.
Tanı: Pankreas başı adenokarsinomu
Hasta alternatif tedavi arayışına girdi.
💊 Tedavi Başlangıcı
3 Haziran 2003: Hasta uzman hekime getirildi.
5 mg immünomodülatör aşı sonrası ateşi 37.5°C'ye yükseldi.
Tedavi Protokolü: Haftada 6 gün, 5 mg immünomodülatör aşı
Hasta tedaviye hızlı yanıt vermeye başladı.
📈 Hızlı İyileşme Süreci
2003 Ekim (4. Ay)
Tümör küçülmüş durumda görüldü.
2003 Aralık (6. Ay)
MR'da tümör ve lenfadenopatiler tamamen kaybolmuştu.
2004 Şubat (8. Ay)
Nüks bulgusu saptanmadı. Tedavi bırakıldı.
✅ Tam İyileşme
2004 Şubat: Tedavi başarıyla sonlandırıldı
2007 (4 yıl sonra): Hasta remisyondaydı
Pankreas kanseri tamamen ortadan kalktı ve nüks görülmedi.
⚡ Hızlı İyileşme
Bu vaka, immünomodülatör tedavinin pankreas kanserinde ne kadar hızlı etkili olabileceğini göstermektedir.
Sadece 6 ayda tümörün tamamen kaybolması dikkat çekicidir.
🎉 Başarılı Sonuç
8 aylık süreçte tam iyileşme
Pankreas adenokarsinomunun tamamen ortadan kalkması













































